Thanks to David Palacios for becoming a Knife Steel Nerds Patreon supporter!
Niobium-Alloyed Steels
Here is a partial list of some niobium-alloyed steels, and I will describe the reasons why the niobium addition was made:

Niobium is used in a relatively small number of knife steels, but its addition is significant in terms of effects on the final properties. Fundamentally, niobium is added for similar reasons to vanadium: to form hard MC carbides, where M can refer to V, Nb, Ti, etc. The hard carbides can contribute to grain size refinement, carbide structure refinement, and wear resistance. However, there are some important differences with vanadium that should be recognized.
Wear Resistance
Carbides are hard particles that contribute to wear resistance of steels. The more carbide is present the lower the toughness is of the steel. The carbides are hard but brittle which is why toughness is reduced. Harder carbides are better at contributing to wear resistance. So a low volume of very hard carbides can give a better balance of properties than a larger volume of softer carbides. Vanadium carbides are among the hardest carbides so vanadium additions are often used for this purpose. This is seen in steels like 10V and 15V which have very high vanadium content (10% or 15%) for very high wear resistance. Or steels like 3V or 4V which have a lower amount of vanadium for high toughness but good wear resistance for the level of toughness.
Niobium carbides are very hard, similar in hardness to vanadium carbides. I have seen some studies that found niobium carbides to be slightly softer than vanadium carbides but other studies that found the reverse. I think it is safe to say that they are similar in hardness. Both are used to make high wear resistance steels. Therefore, in general, niobium can be used as a replacement for vanadium for the formation of very hard carbides to contribute to wear resistance.

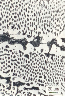
Grain Refinement
The top steel in the chart is Carpenter CRB-7, a bearing steel steel. B70P is the same steel but produced with powder metallurgy instead. The niobium addition is relatively small. There are a few other steels with a similarly small niobium addition, such as certain versions of 1% carbon, 8% chromium steels [1][2]. These small niobium additions are made for the same reason: grain size control. When carbides are present in a fine array throughout the microstructure, they act to “pin” the grain boundaries so that the grains are unable to grow. Fine grain size is desirable because it leads to superior strength and toughness; you can read why in this article. Normally grains grow freely at high temperature when there are no carbides present. The higher the temperature, the faster the grains grow because diffusion is faster.
However, when there is a fine array of carbides then the carbides “pin” the grain boundaries so they are unable to grow. This keeps the grain size small even at high temperatures:
Why add 0.25% niobium if the steel already has 1% vanadium? Well, niobium carbides are better for pinning grains. They dissolve at higher temperatures, so the steel can be forged or hardened from higher temperatures while keeping the grain size small. In the chart below you can see that for a simple steel (labeled C-Mn) the grain growth is relatively continuous with increasing temperature. With a Ti addition (bottom line) there is very little grain growth even up to 1250°C (2300°F). Vanadium keeps the grain size as small as Ti does up to about 1000°C (1825°F), and then when the vanadium carbides are dissolved the grain growth rapidly reaches the same level as the C-Mn steel. Niobium, however, maintains a small grain size all the way up to 1150°C.

This is somewhat of a simplification, as it also depends on how much vanadium or niobium is added. When more V or Nb is added then the carbide dissolution is shifted up to higher temperatures. However, V dissolves at significantly lower temperatures than Nb, and with quite small additions of Nb grain growth is inhibited to very high temperatures:

The CRB-7 patent [3] says that the niobium addition allows hardening/austenitizing temperatures as high as 2100°F without a drop in toughness because of the better grain pinning of niobium carbides. JMatPro calculations confirm that no vanadium carbide is predicted to be present at high temperature in CRB-7, but a small amount of niobium carbide is present up to very high temperatures, and therefore would be available for grain pinning. In fact, no vanadium carbide (VC) is predicted to have formed at all in CRB-7. The reason is that vanadium is very soluble in chromium carbides, making a chromium carbide that is enriched in vanadium, which increases the hardness of the chromium carbide but not to the level of the very hard VC. The lack of any VC means that the effect of vanadium carbide on pinning of grain boundaries is not present, of course. Niobium, however, is a “stronger” carbide former than vanadium and NbC is formed even with small amounts of Nb and very large amounts of Cr. That makes niobium effective at maintaining a small grain size in steel. Below I have plotted vanadium or niobium vs MC in CRB-7 at 2000°F calculated with JMatPro. Nearly 2% vanadium is necessary to form any VC, while NbC begins to form with the smallest amount of Nb. This is due to the high chromium content (14%) which affects vanadium carbide formation:

Carbide Structure Refinement
In a previous article on powder metallurgy, I described how carbide structures end up being large during casting, which leads to large carbides in the final product and toughness is poor. High chromium steels like D2 and stainless steels form chromium carbide networks in the liquid steel that are very difficult to break up in future forging, as the carbides are stable up to melting. A structure called “ledeburite” is formed which is a combination of carbide and austenite in a structure that looks something like this:

Additions of Nb can lead to a refinement of the as-cast structure [4] so that the carbides are more easily refined during forging and heat treatment operations. The niobium carbides that form in the liquid before the austenite and carbide acts as “nucleation sites” for the resulting solid phases. The austenite and carbide nucleates on the niobium carbides, and the dispersion of those carbides leads to a higher nucleation density for a refined cast structure.

The top schematic represents typical solidification of steel, the bottom showing the effect of NbC on solidification

This image from [4] showing refined cast structure with Nb addition
This is the principle by which the 0.5% Nb was added to steels K490 and S35VN, and to some extent in the larger niobium-addition steels. S35VN is a modification of S30V steel where the vanadium was reduced from 4 to 3% and replaced with 0.5% niobium. Even with powder metallurgy, carbides can form in a range of sizes. Niobium additions to powder metallurgy steels can also lead to a refinement of the final microstructure. ASP2055 is a powder metallurgy high speed steel with 3.2% V and 2.1% Nb, while ASP2052 is a PM high speed steel with 5% vanadium. A clear difference in carbide size is evident, where the Nb-alloyed steel on top has much finer MC carbides (black particles):

This image from [5], top is Nb-alloyed steel and bottom is V-alloyed only
S35VN has better transverse toughness than S30V (12 ft-lbs vs 10 ft-lbs) [6]. That improved toughness is likely due to a refined carbide structure. In the patent of K490 [7], they measured the toughness both with and without a 0.5% niobium addition. They found an improvement in toughness by addition the niobium. They also showed micrographs which had a clear difference in carbide size, though the images in scanned patents are terrible so the ASP2055 comparison above will have to suffice.

3V modified is an unreleased, but patented [8], steel from Crucible that replaced most of the vanadium in 3V with niobium. Regular 3V has 2.75% vanadium, but the modified version has 2.5% niobium and 0.75% vanadium. I previously wrote about this steel in the first article on this website. The carbide size was refined by using niobium instead of vanadium and the toughness was also improved, particularly in the transverse direction. Read this article to learn why the direction of toughness testing is important. The abrasion resistance remained similar, with 3V mod wearing slightly less than the original 3V.

Formation and Size of Niobium Carbides
There are three different regimes for niobium carbide formation during solidification of steel:
- Small niobium additions (<0.3% or so) form after the solid austenite has formed. The carbides are small (<1 micron) and well dispersed because they form at lower temperature where diffusion is slower and because of the presence of solid steel where growth is slower. These carbides are particularly good for pinning grain boundaries because there is a high density of carbides.
- Medium niobium additions. Greater than about 0.3%, the upper bound is somewhat unknown, somewhere in the range of 1.0% [9] to 2.5% [10]. A medium amount of niobium carbide forms concurrently with austenite (eutectic) leading to a mixed structure of medium sized niobium carbides (<10 microns) in the final forged product that contribute to wear resistance.
- High niobium additions. Greater than 1.0-2.5% depending on which reference you look at. The niobium carbides form directly in the liquid steel and can become quite large (>10 microns). These carbides have a more square or “cuboidal” shape.

The white structure is the niobium carbide “eutectic” and the dark grey is the chromium carbide eutectic in a cast “medium niobium” steel [10]

Cuboidal niobium carbides in a high Nb steel [10]
Effect of Titanium on Niobium Carbides
There is some mixed information about the addition of titanium for controlling niobium carbide size. With large Niobium additions of >4%, titanium additions have been found to decrease the niobium carbide size. The mechanism is similar to that described for how niobium carbides reduce chromium carbide size. The titanium carbides form at a higher temperature than the niobium carbides, and then act as preferential nucleation sites so that there are more niobium carbides formed which reduces their final size. Here is a comparison between steels with 5-6% niobum, RN15X [11], the top without Ti and the bottom with a 0.12% Ti addition, where the Ti-added steel has somewhat smaller carbides:

However, there is a patent on niobium-alloyed steels using 2.5% NbC where they found that a small addition of Ti led to larger carbides [12], and in the case of that patent the larger carbides were desirable for wear resistance. However, in knives we would like to keep carbides small because knife edges are very small and smaller carbides keeps our toughness high. With lower amounts of Nb, the addition of Ti means the structure is shifted from the “eutectic” mixture of NbC and austenite to the cuboidal, large niobium carbides [13]. That may be desirable for a cast structure as can be seen in the image below, but for typical steel where the eutectic will be broken up during forging the final carbide size is larger with the Ti addition.

This image from [13]
High Niobium Powder Metallurgy Steels
The formation of these large carbides is not only a problem in conventionally cast “ingot” steels, it also causes issues with powder metallurgy steels. Normally we think of powder metallurgy steels as essentially solving the problem of large carbides. The steel is solidified very rapidly so that the carbides do not have the chance to grow in size. You can read about how powder metallurgy works in this article. Molten steel is passed through a small nozzle and gas sprays rapidly solidify it into a fine powder. Then the powder is put into a box under vacuum at high temperature where the powder is consolidated into a solid block of steel.

However, because niobium carbides form in the liquid steel, with large amounts of Nb the carbides are forming before the liquid steel is even passed through the gas atomization nozzles. That not only means that the carbides are large, but it also means that the nozzles are clogged by carbides during the powder metallurgy process. This is likely why no PM niobium steels have greater than 3.0% niobium (S110V). One way around this issue is to produce the powder steel without carbon first so that niobium carbides are not formed. Graphite (carbon) is mixed with the carbon-free powder prior to consolidation so that niobium carbides are formed during the high temperature powder consolidation (HIP) process [14]. This is somewhat similar to the process used for high nitrogen powder metallurgy steels where the powder is nitrided to add nitrogen, you can read more here. I am not aware of any commercially-produced powder metallurgy steels that use this carburization process to achieve high niobum levels.
The Problems with Vanadium in Stainless Steel – Toughness
One issue with vanadium additions for hard VC in stainless steels was previously mentioned: vanadium tends to be enriched in chromium carbides rather than forming the harder VC. The more chromium is in the steel, the less VC will form. I have the bulk chromium and vanadium content for a range of steels, and then the amount of vanadium carbide (VC) and chromium carbide (CrC) that is in the heat treated microstructure:

Below you can see that as more chromium is added the amount of vanadium carbide (VC) goes down:

At the same time that the vanadium carbide content goes down with more chromium, the amount of chromium carbide goes up:

Steels like 3V, 4V, and 10V get their excellent combination of toughness and wear resistance by having all vanadium carbide. Toughness is controlled by carbide volume fraction (lower is better) and wear resistance is controlled by carbide hardness and volume fraction (harder is better, more is better). Therefore to maximize the toughness-wear resistance balance you maximize carbide hardness (by using hard VC) and then select the level of toughness and wear resistance with the amount of VC. 10V has very high wear resistance with average toughness (17.5% VC), and 3V has very high toughness with average wear resistance (5% VC). The vanadium-alloyed stainless steels have a very high content of chromium carbides which upsets this design principle. The chromium carbide is not as hard as VC so it reduces the level of wear resistance for a given level of toughness (carbide volume). This leads to Uddeholm steels Elmax (18% Cr) and Vanadis 4 Extra (5% Cr) having similar CATRA edge retention, but the toughness of V4E is much higher:

One way around this limitation is to use nitrogen rather than carbon, which resulted in Uddeholm Vanax which has primarily, or entirely, vanadium nitride which is similar in hardness to vanadium carbide. However, the toughness of Vanax is still nowhere near the level of Vanadis 4 Extra at 30J. I don’t know if the toughness could be further improved or if there is some limitation to high nitrogen steels.
Niobium vs Vanadium – Toughness
Niobium additions, however, are not affected by chromium and it is therefore more possible to design steels that have niobium carbide alone or only small amounts of chromium carbide. That makes it more possible to design stainless steels with a higher toughness-wear resistance balance.
The Problems with Vanadium in Stainless Steel – Corrosion Resistance
Vanadium also reduces corrosion resistance of stainless steels. Every stainless steel has some balance between carbon and chromium “in solution,” shown by the line “0% Vanadium” on the chart below, indicating the maximum level of C-Cr that can be achieved. More carbon means higher hardness and more chromium means higher corrosion resistance. However, having more chromium in solution reduces the amount of carbon in solution and vice versa. This makes it very difficult to design steels with both high corrosion resistance and high hardness. I wrote about this design difficulty and how molybdenum changes things in this article on 154CM, and how nitrogen affects the balance in this article. Adding vanadium increases the amount of chromium carbide that is formed and drops the carbon-chromium curve, reducing the level of hardness and corrosion resistance that can be obtained:

These C-Cr curves calculated at 2000°F using JMatPro
Niobium vs Vanadium – Corrosion Resistance
Niobium, however, does not affect the formation of chromium carbides, so the C-Cr curve remains in the same location. This allows the design of steels that have a better hardness-corrosion resistance balance along with the high wear resistance offered by niobium carbides as a replacement for vanadium carbides.
RN15X Steel
RN15X [15] was designed to be a steel with high corrosion resistance and wear resistance through niobium alloying, the bottom steel in the composition table at the top of this article. It looks pretty similar to S30V but with 4.5% niobium instead of 4% vanadium. It has the same 2% Mo as S30V, and a similar carbon and chromium content. However, the use of niobium makes it a very different steel, for all the reasons thus far described, and of course because it is a conventional ingot steel and not powder metallurgy. Greater than 60 Rc can be obtained with the steel, similar wear resistance to D2 (1.2379) and better corrosion resistance than 440B (1.4112), all excellent results. No toughness numbers were provided but it is unlikely to be stellar with the relatively large niobium carbides shown in the micrograph provided earlier in this article.



I haven’t seen any knives made in RN15X and it is not easily available, at least in North America. It is a relatively interesting steel, however, and there is some information in the published literature about it, so I figured it was worth discussing.
There is also a paper published [16] where they made a slightly modified version of RN15X with powder metallurgy using the graphite method to avoid clogged nozzles. They reported that the corrosion resistance was even better than the standard RN15X. They also found that the NbC was incredibly small, less than 1 micron, and smaller than the chromium carbides that formed, which were as large as 6 microns. No toughness testing was performed on the powder metallurgy version. As far as I know this PM steel has never been offered commercially.
Niolox
Niolox is a stainless steel with 0.7% Nb along with 0.9% V, relatively small amounts for enhanced wear resistance over a steel like AEB-L. Niolox began as German steel 1.4153 which has an approximate composition of 0.8%C, 13% Cr, 0.5% Mo, and 1.7% V. In 1989 Niolox was patented [17] which is a modification of that steel. They increased the Mo to 1.1% for better corrosion resistance, and replaced some of the vanadium with niobium for 0.9%V and 0.7%Nb. They found that Niolox has good corrosion resistance, wear resistance, and toughness due to the modified composition including the change to niobium. They found that Niolox outperformed 1.4153 in a salt spray corrosion test. And they found that hardness and toughness was significantly improved vs the older 1.4153:

Niolox was introduced to knives in the early 2000’s with help from Achim Wirtz. On paper it looks like a well-balanced steel for good toughness and wear resistance. There are many stainless steels with high wear resistance like S30V, Elmax, and M390, and a few with high toughness like AEB-L but not much between. However, in toughness testing that we performed Niolox was not particularly spectacular, similar to the PM steel 40CP, but significantly lower than CPM-154, and much worse than AEB-L. This result is somewhat surprising because based on the carbide volume I would expect Niolox to perform similarly to 19C27. We have only tested the one condition so far (an average of 3 samples), so maybe other heat treatments would do better.

In a previous article I presented micrographs of Niolox along with AEB-L and CPM-154. Niolox, despite having only 0.7% Nb, had surprisingly large Niobium carbides which may explain the poor toughness:

Niolox

AEB-L

CPM-154
New Steel
The “new steel” listed in the toughness chart is a steel that we are developing that includes a significant Nb addition. Comparing the Nb carbides between Niolox and the new steel show that the size and density of NbC is much improved relative to Niolox, which may explain the much better toughness of the new steel:

Niobium carbides in Niolox

Niobium carbides in new steel
Development is still not far enough along to discuss the new steel further, but I bring it up to point out that niobium-alloyed conventional ingot steels can be produced with relatively small carbides and high toughness.
S110V
S110V is essentially a modified version of S90V or S125V designed for improved corrosion resistance when compared with those steels. S90V has 14% Cr and 1% Mo, while S110V has 2.25% Mo and 15.25% Cr for improved corrosion resistance. The addition of niobium also helps with corrosion resistance. As the patent [18] says, “It has been discovered that the presence of niobium in the alloy of the invention also lowers the amount of chromium that dissolves in MC primary carbides. This in turn increases the amount of ‘free’ chromium in the matrix, which further improves the corrosion resistance.” Their calculations of an 11V steel yielded 12.55% Cr in solution when heated to 2050°F, while the 9V-3.5Nb steel had 13.39% Cr in solution. Corrosion resistance tests confirmed that superior behavior was achieved with S110V, where a pitting potential test yielded 403 mV for S110V compared to only 59 mV for S90V (higher is better):

With the same 9% V of S90V plus an extra 3% Nb we would expect a significant improvement in wear resistance by using S110V instead of S90V. And looking at the datasheet [19] that appears to be the case:

However, the hardness of the S110V is higher than for the S90V in that chart, and when the two are plotted vs hardness it turns out the wear resistance appears to be identical:

Therefore, S110V is probably best seen as an improved corrosion resistance upgrade over S90V, with also higher potential hardness. No toughness data on S110V is available, which would also be an interesting comparison with S90V.
Why Not More Niobium-Alloyed Knife Steels?
There are likely several reasons why there aren’t more niobium-alloyed knife steels. For one, it hasn’t been used for very long in tool steels, at least not to any great extent. The majority of the steels discussed here were introduced in the mid-2000’s or later. There are important limitations when it comes to using large amounts of niobium, as described above, which may reduce the number of niobium steels. For non-stainless steels with their lower chromium content, there aren’t many downsides to using vanadium instead, and many steels have already been developed with that approach. They know it works. The improved toughness obtained in 3V modified, S35VN, or K490 doesn’t appear to have been attractive enough for serious pursuit, in general.
Which Companies are Most Likely to Sell More Niobium-Alloyed Steels?
In several Uddeholm patents, they state that niobium additions are not desirable because they believe the cuboidal shape of NbC leads to a reduction in toughness [20]. So niobium steels from Uddeholm seems unlikely unless they change their minds.
While Crucible was a relatively early leader in niobium additions with S35VN and S110V, their development of steel has slowed down greatly since their bankruptcy and the selling-off of their former research facility. However, their design philosophy was moving in that direction before they slowed down as also shown with the modified 3V patent. Perhaps they will surprise us with new steels in the future.
Bohler hasn’t released a new steel with Nb since K490. However, Bohler has patented a series of steels with 3-15% niobium [21], and the patent includes some 9% Nb stainless steels which have improved corrosion resistance and wear resistance relative to M390. Those steels have not appeared for sale but perhaps they might. The patent says that the steels are produced using the graphite method so that higher Nb can be used. Interestingly, high nitrogen versions are also patented though there are no included experimental versions in the patent.
Carpenter hasn’t introduced any steels with significant Nb additions.
Erasteel has its niobium-alloyed ASP steels. They are high speed steels which may not be optimized for knives, but that hasn’t stopped knifemakers from using M2, CPM M4, PM M3:2, Rex 45, and Hap 40. Regardless, Erasteel products haven’t seen much use in knives for whatever reason. Erasteel did patent Nitrobe77, however, which has 0.5% Nb, and that has been sold to knifemakers.
The ThyssenKrupp TSP1 and TSP8 steels have not been used in knives at all as far as I am aware. The both look somewhat interesting, with TSP1 as a 1V/3V alternative and TSP8 as a 10V/K390 alternative, but with some Nb-alloying instead. Perhaps a brave knife steel supplier could buy some up and sell it in smaller quantities.
Niolox sees some limited use, particularly in Germany where the steel is produced. Niolox is produced by Lohmann. Achim Wirtz works with Lohmann and is a fan of niobium additions so it is possible that Lohmann could release other niobium-alloyed steels.
I think there is a lot of untapped potential for niobium-alloyed knife steels and hope that the steel companies will introduce more of them in the future.
Summary and Conclusions
Niobium forms very hard niobium carbides, these carbides are somewhat similar to vanadium carbides in some ways, and different in other significant ways. Niobium carbides are very effective at pinning grain boundaries for steels with a fine grain size. In some cases replacing vanadium with niobium can lead to better toughness and reduced carbide size. Niobium carbides contribute greatly to wear resistance just like vanadium carbides. Niobium additions are somewhat limited before the carbide size becomes large, even with powder metallurgy steels. Titanium additions can help reduce the NbC size in conventional ingot steels. Powder metallurgy steels can utilize higher niobium contents if the powder is produced without carbon so that NbC doesn’t clog nozzles, and then graphite is added prior to consolidation to introduce carbon. Niobium additions are much different than vanadium when it comes to stainless steels, because niobium does not become part of the chromium carbides. This means niobium-alloyed stainless steels potentially have less chromium carbide and better corrosion resistance. These effects can give niobium-alloyed steels superior hardness, corrosion resistance, wear resistance, and toughness when compared to vanadium alloying of stainless steels.
[1] Mesquita, Rafael, “Wear Resistant Tool Steels with Niobium Carbide Dispersions.”
[2] https://www.thyssenkrupp-materials.fr/media/products_4/7593_en.pdf
[3] Philip, Thoni V. “Hot hard stainless steel.” U.S. Patent 3,859,147, issued January 7, 1975.
[4] Mirzaee, Masoud, Amir Momeni, Hamid Keshmiri, and Reza Razavinejad. “Effect of titanium and niobium on modifying the microstructure of cast K100 tool steel.” Metallurgical and Materials Transactions B 45, no. 6 (2014): 2304-2314.
[5] Engelmark, Fredrik, Lars-Olov Nordberg, and Stefan Sundin. “Hard Materials 2: Recent advances in PM HSS and ASP® at Erasteel.” In European Congress and Exhibition on Powder Metallurgy. European PM Conference Proceedings, vol. 1, no. 2, p. 287. The European Powder Metallurgy Association, 2007.
[6] https://www.crucible.com/PDFs%5CDataSheets2010%5CdsS35VNrev12010.pdf
[7] Jesner, Gerhard, and Devrim Caliskanoglu. “Cold-forming steel article.” U.S. Patent 8,298,313, issued October 30, 2012.
[8] Kajinic, Alojz, and Andrzej L. Wojcieszynski. “Cold-work tool steel article.” U.S. Patent 7,615,123, issued November 10, 2009.
[9] Karagöz, S., and H. F. Fischmeister. “Niobium-alloyed high speed steel by powder metallurgy.” Metallurgical Transactions A 19, no. 6 (1988): 1395-1401.
[10] Wilmes, S., and G. Zwick. “Effect of niobium and vanadium as an alloying element in tool steels with high chromium content.” The Use of Tool Steels: Experience and Re-search 1 (2002): 227-243.
[11] Berns, Hans, Sabine Siebert, Andriy Tyshchenko, and Christoph Escher. “Development and application of a stainless CrNbMoC tool steel.” steel research international 80, no. 2 (2009): 146-152.
[12] Philip, Thoni V., and Douglas W. Dietrich. “Wear resistant alloy steels containing cb and one of ti, hf or zr.” U.S. Patent 3,901,690, issued August 26, 1975.
[13] Da Silva, Paula Fernanda, Alexandre Bellegard Farina, and Mário Boccalini Júnior. “LIGAS” AÇO MATRIZ+ NBC”-CARACTERIZAÇÃO NO ESTADO BRUTO DE FUNDIÇÃO.” Tecnologia em Metalurgia, Materiais e Mineração 4, no. 3 (2008): 43.
[14] Huth, Stephan, and Werner Theisen. “Diffusion alloying–a new manufacturing method for PM tool steels.” Powder Metallurgy52, no. 2 (2009): 90-93.
[15] http://www.doerrenberg.com.sg/fileadmin/template/doerrenberg/stahl/DatenblaetterEng/RN15X_en.pdf
[16] Theisen, Werner, Sabine Siebert, and Stephan Huth. “Wear resistant steels and casting alloys containing niobium carbide.” steel research international 78, no. 12 (2007): 921-928.
[17] Bennecke, Rainer, Edmund Haberling, and Gustav Steffens. “Conversion of work material to martensitic chromium steel – for prepn. of sharp knives.” German Patent 3937031C1 issued September 9, 1990.
[18] Kajinic, Alojz, Andrzej Wojcieszynski, and Maria Sawford. “Corrosion and wear resistant alloy.” U.S. Patent Application 11/124,350, filed November 9, 2006.
[19] http://www.crucible.com/PDFs%5CDataSheets2010%5CDatasheet%20CPM%20S110Vv12010.pdf
[20] Sandberg, Odd, Lennart Jönson, and Magnus Tidesten. “Cold work steel.” U.S. Patent 7,297,177, issued November 20, 2007.
[21] Theisen, Werner, H. U. T. H. Stephan, Jochen Perko, and Herbert Schweiger. “Wear-resistant material.” U.S. Patent 8,623,108, issued January 7, 2014.

Excellent, educational article that filled in a lot of knowledge gaps for me. You are doing excellent research and summarizing. Going to have to re-read this a couple of times to make sure I’m getting it all.
Thanks David!
Hi Larrin
Good article, very informative. Maybe some manufactures will read this material and it will create some interest..
For many companies that manufacture and heat treat steel products (including knife makers) high toughness is always the missing ingredient in producing a top quality product.
Strength is easily achieved in modern highly alloyed steels but high toughness is very difficult if not impossible to obtain in those same steels. Toughness requires a very refined and homogeneous micro structure and is not only necessary for the different aspects of toughness but is a key player in how fine and sharp a knife edge can get.
The whole world and particularly the automotive industry is screaming for steels and heat treating methods that will produce a product with high strength and extreme toughness at the same time.
In the past the steel industry as a whole has reached the point where they think we have “arrived” and there is no more undiscovered science that will enable us to finally bring high strength and extreme toughness together into to one product that will meet the ever increasing demand. In my opinion this is a big mistake as it has hindered people from pursuing higher technology and from thinking “outside of the box”
If toughness and strength are ever going to be “married” together into one product, it will require some expertise that we haven’t seen yet. With that said, the dedicated and professional knife maker with time and the steel to experiment, is sitting on top of a golden opportunity to make this happen.
Keep up the good work Larrin and thanks from all of us for providing the information to fill in the missing pieces.
Clay
Hi Larrin,
fantastic work you are doing here. I don’t know any source of information about metallurgy that compares to it. It is more easy to understand than any other I have seen. I was always searching for stuff to enlighten the complicated materia. Now I have found it!
I wonder about the low toughness, you have seen with Niolox. I like this steel a lot and use several customs from German knife makers (especially Jürgen Schanz, using Niolox under the name SB1). A hunting knife, 4 kitchen knifes and a big folder. Also one damascus folder from another knife maker made of Niolox and 440B. Damascus steel from Achim Wirtz.
Geometry of all is more or less delicate. For example the big folder: Convex grind, edge angle 10 dps, 0.01“ behind the edge. I have worked a lot with all of these knifes and never ever had a problem. No mikrochipping. And I know for sure, cause I have controlled the edges under microscope (500x).
In so far I think, it is worth to pay some more attention to this stuff.
My two cents from Germany
Best wishes, Peter
Hi,
wondered the same when i saw the data because of my own testing and experience with the steel. I have talked to Jürgen Schanz about the toughness of Niolox and he told me that Niolox is an Upgrade to RWL-34 in terms of toughness, which is an equivalent to Cpm 154. Maybe there was something wrong with the sample.
But of course we all might be wrong and the data is spot on.
I really appreciate your work.
best regards,
Simon
Wonderful article! TSP1 is the steel I have been waiting for knife making. According to its datasheet, the Co is added for high hot work hardness.
However, in the S110V datasheet, the Co can make the steel stay in finer structure compare to the one without the Co. Would you think if a changed heat treat procedure can make the same effect on the TSP1?
Thank you for another great article Larrin!
The cobalt was added to S110V because it has a large amount of “ferrite-stabilizing” elements: Cr, Mo, Nb, V. That means that the steel cannot be austenitized even at very high temperatures. The cobalt was added because it is an “austenite stabilizer.” Nickel and manganese are as well but they also increase the amount of retained austenite in the final heat treated steel while cobalt does not.
Thank you very much for the explanation! This is my understanding, since the TSP1 has much less V and Nb than S110V, the Co is not needed for TSP1 if the high hot work hardness is not needed.
Due to this reason, would the 3Vmod be a better choice for knife making than TSP1 by prediction? Why the TSP1 has higher Mo where 3Vmod has less Mo and add W instead? Thank you.
It’s hard to say which of those two steels would be better. However, 3Vmod has never been produced as far as I know. And none of the knife steel supply companies currently have TSP1. So comparing the two is not particularly useful currently.
Hello and thank you for the articles you write!
I’d like to pick your brain about K490. No one talks about it, but I’m plagued with curiosity.
Firstly, I was hoping to put the carbide types into the TCC prediction equation, but I can’t find it in the various tables you have provided in your articles. I though it was included in one, but searching hasn’t gotten me back to where I thought I saw it. All I can find with it now are the tables regarding PREN.
Do you know and can you provide the carbide types and volumes of K490?
Do you have any insight/opinions about how it might compare specifically to Z-wear & CPM M4 when using high & low tempers with and without cryo or dry ice/acetone?
I don’t recall where I first heard about it, but since then, I have seen K490 used in Enigma Knives’ slipjoints and a couple of fixed blades a number of years ago. After reading the literature about it, it sounded to me like a great blend of Z-wear and CPM M4. I really like Z-wear (and its analogues), but would like a bit more wear resistance. K490 stood out as a more wear resistant alternative while being a more stain resistant alternative to M4, especially with low tempering. Seeing K490 pop up in your articles provided me with a glimmer of hope that some people would be interested in it as I am.
Being curious and willing to experiment on my own, I contacted Bohler US about purchasing a sample, even off-cuts from the mill would be fine, but I was told that the smallest piece they can sell me would be a 2.0″x11.9″x12″ chunk for ~$2400. I can’t utilize or afford such a piece, so I had to decline.
Alternatively, I’ve been trying to stoke interest on a couple of forums and have asked knife-making steel suppliers to stock it, but it’s gotten nowhere in a couple years’ time.
Your knowledge and insight would be very helpful. Thank you!
K490 was developed by Bohler to match the properties of Vanadis 4 Extra. Yes I know Bohler and Uddeholm have the same parent company but that doesn’t seem to affect how they operate. I don’t have any K490 so I can’t see if it has any minor advantages/disadvantages compared to Vanadis 4 Extra. But you can use the easier to obtain CPM 4V or Vanadis 4 Extra and get very similar properties.
thank you for your information dense articles .
I have some questions regarding niobium alloyed steels :
– can such coarse niobium carbides refined by “severe” forging ? or its blocky shape make these particles highly resistant to fragmentation ?
– why they didn’t use titanium or zirconium instead of niobium ?
comparing density of their carbides titanium give highest volume fraction of hard MC carbides per 1% addition compared to all MC formers . TiC is also the hardest MC carbide . Ti carbides have higher solubility than Nb during high temperatures austenizing , this can induce better secondary hardening .
all these factors should make Ti steels more better Nb steels , then why there is no such interesting in Titanium alloyed steels compared to Niobium ?
With large carbides that form in the melt it is seemingly impossible to refine them all to the sub 5 micron range. They are very stable and become very large so it’s not really practical even if there is some extreme exception. The size they are in the melt depends on how much Nb was added and the melting practice.
Titanium is an even stronger carbide former than Nb so TiC have an ever greater tendency to become very large.
I mean using titanium by powder metallurgy . steels like 4V , M4 & even 10V when their vanadium content replaced by titanium they should at least theoretically have higher wear resistance than vanadium bearing steels due to larger volume fraction of MC in titanium steels compared to vanadium steels thanks to lower density & lower solubility of TiC compared to VC .
compared to Nb , Ti is about 10 times cheaper & more abundant .
so , why there is no interest in titanium steels ?
Titanium is an even stronger carbide former than niobium so it is even more limited than niobium in terms of how much can be added before it causes problems in production.
Great information! I’ll have to reread to get everything. You should include Nitrogen, carbide formers are also nitride formers but the nitrites are often more temperature stable. Thermodynamic software usually shows a single MCV but reality MC precipitated on MV; my experience is NbC on TiN. The result is fewer, larger particles than expected.
In RE: about mechanically reducing carbide size in an earlier comment, my experience is if you do manage to fracture them you end up with a string of carbides connected by voids.
“The carbides are hard but brittle which is why toughness is reduced.”
“Steels like 3V, 4V, and 10V get their excellent combination of toughness and wear resistance by having all vanadium carbide.”
something doesn’t add up here. VC is harder than CC but less brittle. Carbides are brittle because they’re larger than the surrounding matrix, there’s less energy in their boundaries because those are less numerous at any given volume. Correct me if I’m wrong.
VC is not less brittle than chromium carbide. Carbides primarily affect toughness in terms of their size and volume of carbide. Vanadium carbides are smaller than chromium carbides in PM steels and they contribute more to wear resistance. So it allows a lower volume of carbide for the same level of wear resistance. That means that have a carbide structure of only VC provides a better balance of toughness and wear resistance.
Is there a reason why nobody has made a steel that uses Niobium INSTEAD of Vanadium? Is it just really expensive?
There are a variety of reasons why niobium only steel generally don’t exist. One is that the primary advantages are in stainless steels where there seems to be less competition in developing new products. Another is that niobium alloying is relatively new in tool steels so it is less developed and there has been less time for new products. Uddeholm has stated in several patents that they don’t like niobium carbides. High niobium contents aren’t really possible without special processing like Bohler’s patented graphitisation of powder but they haven’t done anything with it in 10 years after the patent. The process is presumably difficult and expensive which may be why they haven’t used it. So I don’t see any steels coming out with more than 3% niobium right now.
Reading this site and doing some web searching, I just realized that Carpenter B70P might have a good combination of edge retention, and toughness, as well as corrosion resistance. Is it better than 14C28N and LC200N in some or all of these variables?
B70P likely does not have superior toughness or corrosion resistance to 14C28N or LC200N. The wear resistance would be higher, however.